Especialidades

Diagnóstico por Imagen

Responsable

Noemi Gómez Martín
Gda Vet, Dip. ECVDI, EBVS®. Nº Col. 2664-V.

Equipo

Carla Zamora Perarnau
Gda. Vet. Acreditada AVEPA en Diagnóstico por Imagen. Nº Col. 3022 -V.

Judit Verdés Martínez
DVM, Dip. ECVDI, EBVS®. Nº Col. 4749-B .

Maria Dolores Martínez Ruíz
Técnico Diagnóstico por Imagen

Natasha Cervera López
Técnico Diagnóstico por Imagen

Álvaro Riera Roqué
Gdo. Vet.

María Redondo Blázquez
Gda. Vet. MSc, Residente ECVDI. Nº Col. 9314-M.

Laura Librán Ferreira
Gda. Vet. MSc, Residente ECVDI. Nº Col. 3287-V

Iván Rodríguez Armas
Gdo. Vet. Nº Col 1638-LP

Aída Navarro Giner
Técnico Diagnóstico por Imagen

Descripción de la especialidad

En el Servicio de Diagnóstico por Imagen combinamos las últimas tecnologías de diagnóstico con personal altamente capacitado tanto para dar un servicio de diagnóstico clínico de calidad a nuestros centros referentes como para la elaboración de proyectos de investigación y la formación de nuestros futuros veterinarios.

Servicios que ofrecemos:

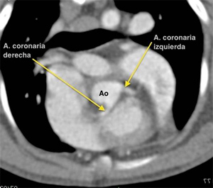
Equipo TC Siemens Somaton Scope 16 cortes con inyector de contraste

  • Esqueleto axial (columna y craneo) y esqueleto apendicular (extremidades)
  • Cuello, cavidad torácica y cavidad abdominal
  • Angio-Tc: tórax y abdomen

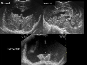
Ecografía (Philips Medical iU22, General Electric Vivid e95 y GE Logiq P7)

  • Ecografía abdominal
  • Ecografía de cuello y cabeza
  • Ecografía musculoesquelética
  • Ecografía ocular
  • Ecografía torácica no cardiaca
  • Ecocardiografía

Radiología digital: Control-X Medical Zoo Max (perros, gatos y animales exóticos)

  • Radiología convencional
  • Radiología de contraste

Fluoroscopia C-arm Siemens:

  • Fluoroscopia sistema digestivo
  • Fluoroscopia sistema respiratorio
  • Fluoroscopia sistema urinario
  • Fluoroscopia sistema cardiovascular
  • Fluoroscopia esqueleto apendicular

Sala de interpretación radiológica, con cuatro puestos para la interpretación de imágenes adquiridas por radiografía, ecografía, TC y RM

Resonancia magnética

Imágenes de la especialidad

Contacto

Dónde estamos

  • Hospital Veterinario UCV
    Universidad Católica de Valencia
    Avda. Pérez Galdós nº51
    46018 Valencia

    Servicio de Parking gratuito para clientes: APARCAMIENTO ABASTOS-NAVARRO LLORENS